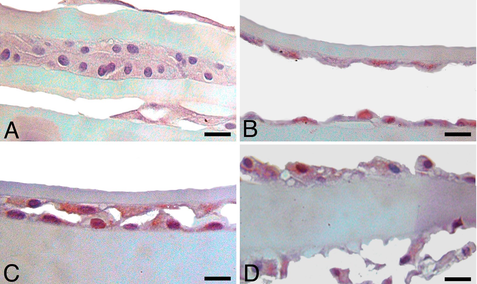
Figure 8. Immunohistochemistry for cleaved
caspase-3 in canine lens capsules treated with AR-12 for 14 days. A:
Untreated
control capsules had no cells positive for caspase-3; as the
concentration of AR-12 increased, the number of caspase-3 positive
cells increased. B: 2.5 µM AR-12; C: 5.0 µM AR-12; D:
7.5
µM AR-12. Scale bar in all images is equal to 30 µm.
