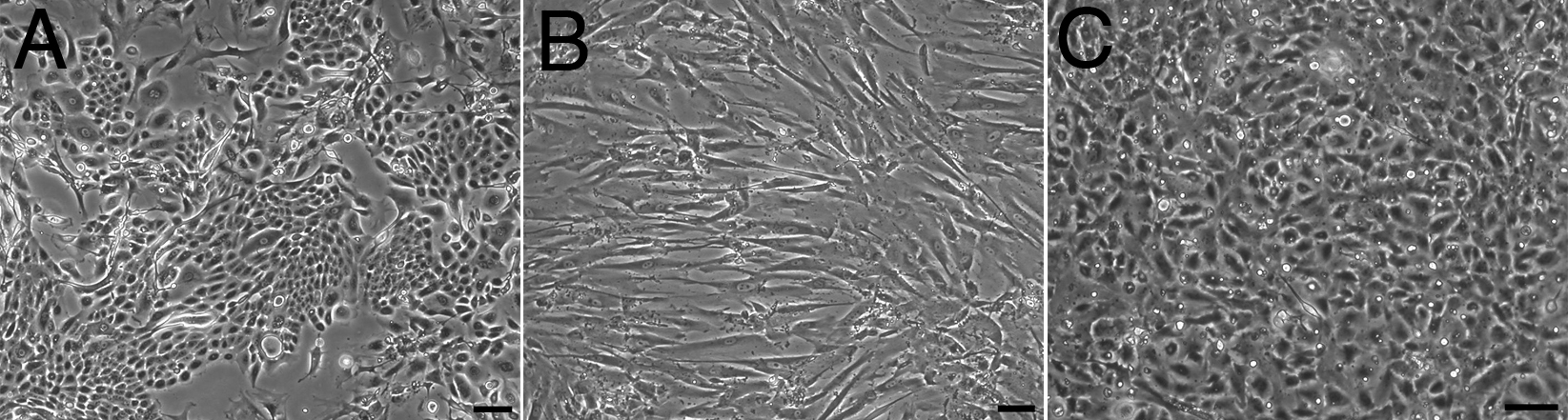
Figure 1 of Proulx, Mol Vis 2010; 16:2192-2201.


Figure 1. Morphology of human corneal cells cultured as monolayers on a plastic substrate. A: Corneal epithelial cells co-cultured with an irradiated 3T3 feeder layer. B: Stromal fibroblasts. C: Corneal endothelial cells. Bar, 100 µm.