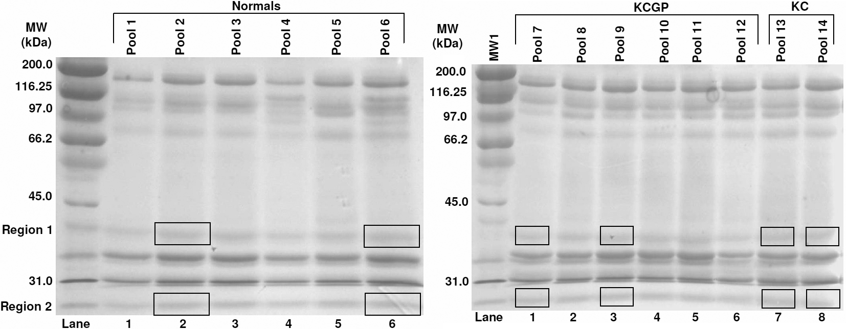
Figure 2 of Pannebaker, Mol Vis 2010; 16:1949-1957.


Figure 2. 10% 1D-SDS–PAGE results.