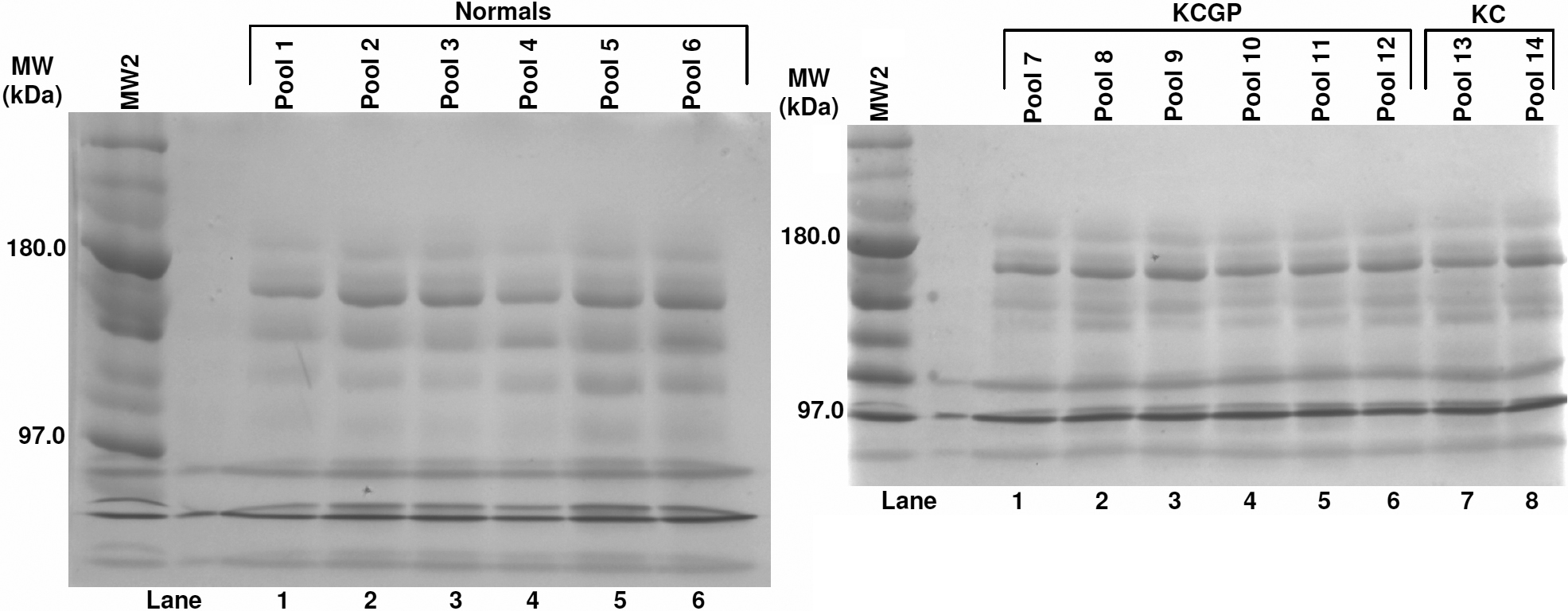
Figure 1 of Pannebaker, Mol Vis 2010; 16:1949-1957.


Figure 1. 6% 1D-SDS–PAGE results.