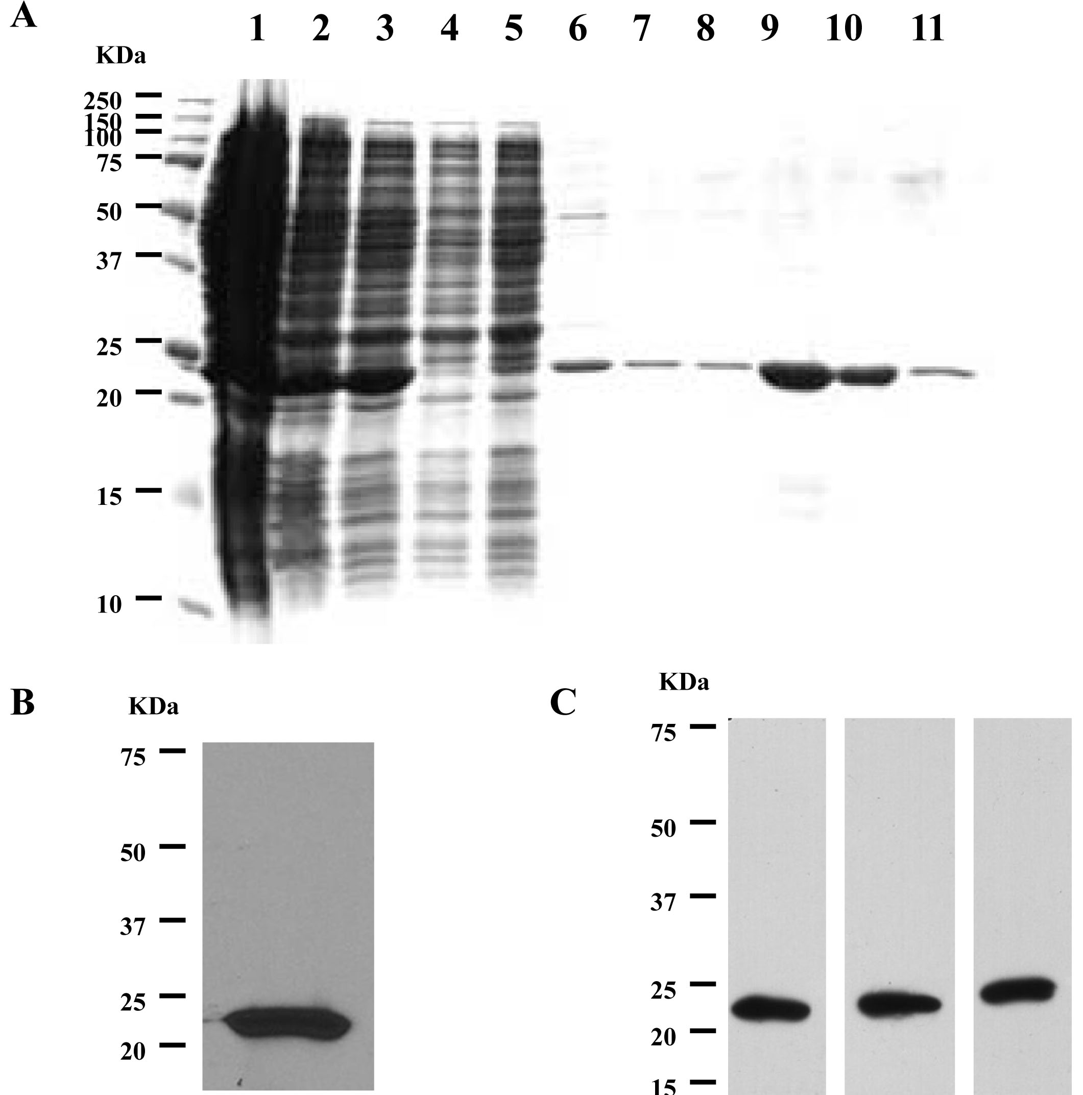
Figure 1. Purification of recombinant
recoverin and generation of recoverin hybridoma cells. A:
Sodium dodecyl sulfate PAGE (SDS–PAGE) analysis of the fractions during
the recoverin purification process. 1) crude extract; 2) after
centrifugation; 3) after filtration; 4 and 5) apply to column; 6) wash
column; 7–11) elution. B: Immunoblot analysis of the eluted
fractions of recoverin. C: Immunoblot analysis of the ascites
from three balb/cJ mice injected with recoverin hybridoma cells.
Molecular size standards are shown on the left.
