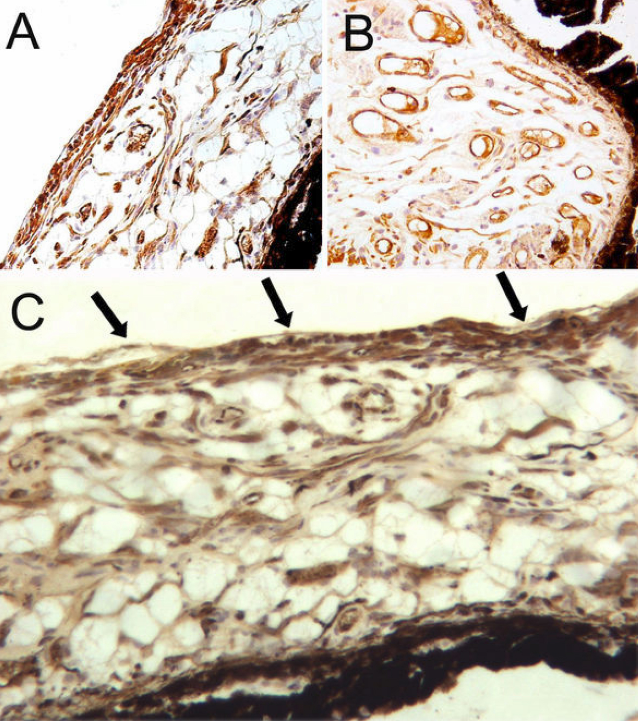
Figure 6. Immunohistochemistry of VIII factor for number counting of new vessels of iris. The density of iridis new vessels in the monkey
number 5 (A) was 36.01±4.49/mm2 and 74.38±9.23/mm2 in monkey number 7 (B). In monkey number 3, a remarkable fibrosis membrane at the anterior surface of iris was observed (arrows, C). The original magnification was: 50× for A and B, and 100× for C.
