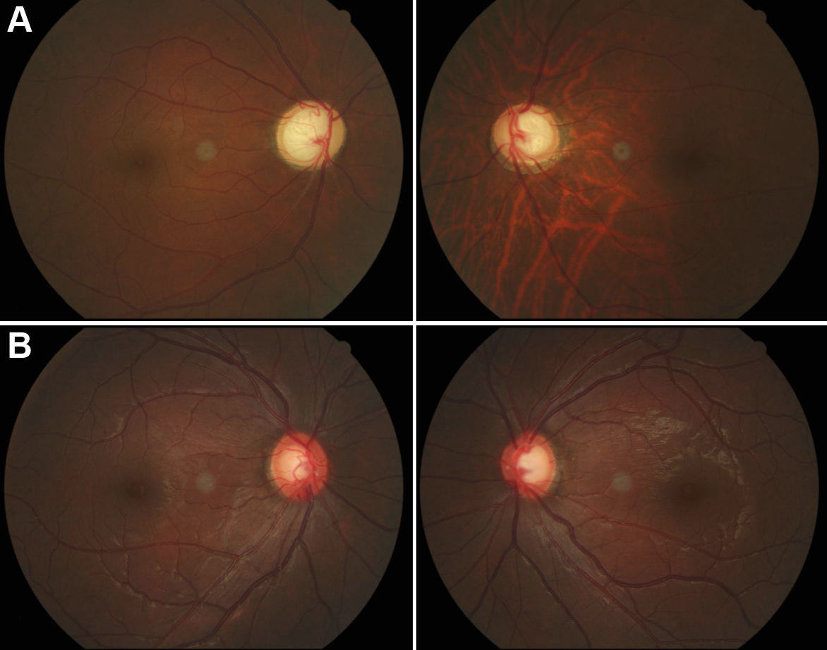
Figure 2. Fundus appearances of patients with JOAG. A: Fundus images of II:7 showed late-stage glaucomatous cupping of the optic disc. B: Fundus images of III:7, who was confirmed to have glaucoma in 2009, presented early glaucomatous appearances of the optic
disc.
