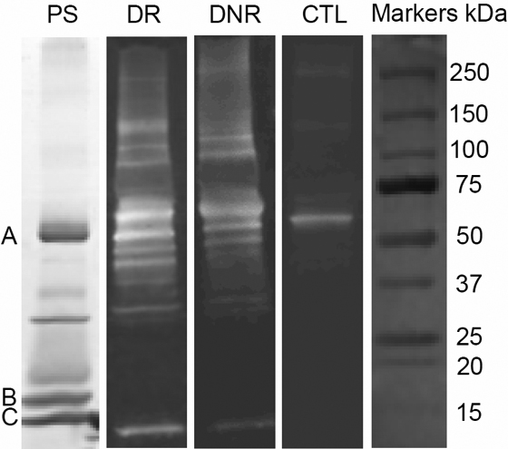
Figure 3 of Zhao, Mol Vis 2010; 16:1576-1584.


Figure 3. 1D western blotting images of AGE modified tear proteins from DR, DNR, and CTL samples. PS: a Ponceau S stained tear proteins on the blot. A: lactoferrin, B: tear lipocalin, C: lysozyme.