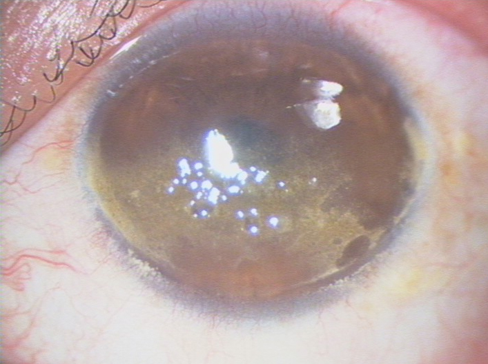
Figure 1. Slitlamp photograph of the right cornea of the proband at the first visit. There are band-like intrapalpebral corneal opacities
in the superficial layers of the cornea. The opacities are composed of brown-yellow, globular, oily appearing droplets that
tend to be confluent and elevate the epithelium.
