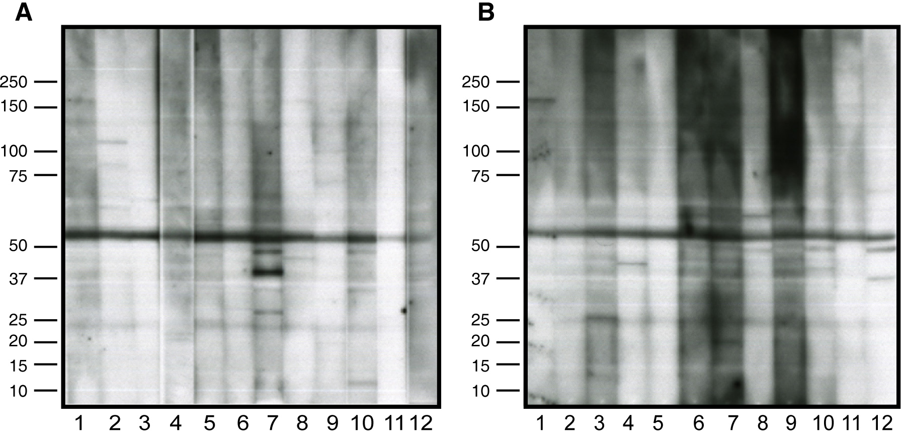
Figure 3. Antiretinal autoantibodies. A:
Control
serum from 12 subjects was applied to human retinal proteins
separated by sodium dodecyl sulfate PAGE. Nonspecific banding patterns
were detected. B: Serum from 12 autosomal dominant neovascular
inflammatory vitreoretinopathy patients was applied to similar retinal
blots, and no specific bands or unique patterns were detected. The
major band in all samples indicates cross-reaction of secondary
antibody with endogenous human immunoglobulin G (IgG) chains.
