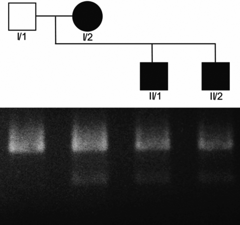
Figure 6. Pedigree of the examined German family. Below results of restriction enzyme analysis after HpyCH4III digestion on a 2% agarose
gel stained with ethidium bromide. In the presence of the 409G>A mutation the full PCR fragment of 369 bp is cut into bands
of 293 and 76 bp (the latter not shown) as seen in the proband (I/2) and her two affected sons (II/1, II/2). Undigested DNA
was seen in the unaffected husband (I/1).
