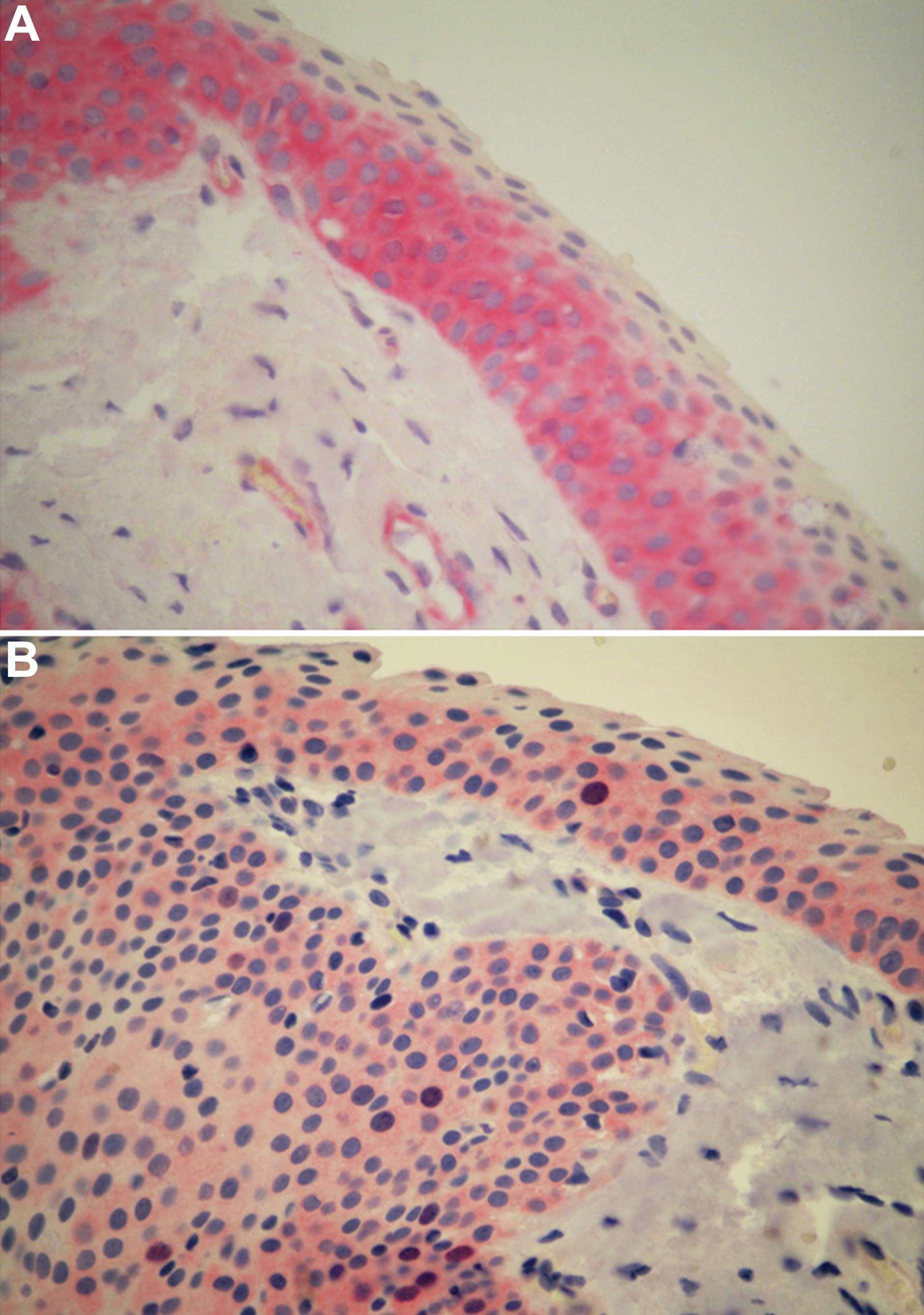
Figure 1. Immunohistochemical staining for
COX-2 and survivin in adjacent sections of primary pterygium. The
expression of both COX-2 (A) and survivin (B) was
localized in the lower and middle layers of the epithelium. The
immunoreactivity for survivin was localized to the nuclei and
cytoplasm, while COX-2 expression was limited to cytoplasm. Note in A,
COX-2-immunoreactive endothelial cells in the lamina propria. Each
section was counterstained with hematoxylin. Original magnification;
400X.
