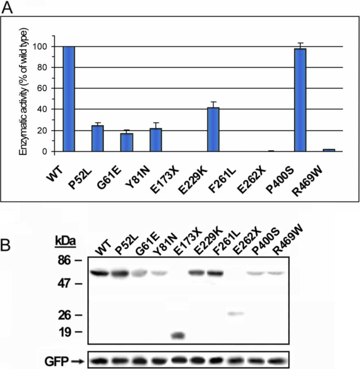
Figure 4. Effect of CYP1B1 mutations found in Spanish PCG patients on CYP1B1 catalytic activity. A: cDNA constructs encoding the different mutations were transiently expressed in HEK-293T cells. Transfection efficiency was
assessed by co-transfection with a cDNA construct encoding GFP. The EROD activity, expressed as a percentage of the activity
of the wild-type protein, was measured as indicated in Methods. Error bars represent the SEM of triplicate experiments. B: Protein levels of the different CYP1B1 mutants present in transiently transfected HEK-293T cells 2 h after the enzymatic
assay are shown as a control of protein expression. CYP1B1 polypeptides, tagged with the myc epitope at their COOH-terminal
end, were detected by western immunoblot using a monoclonal anti-myc antibody (Santa Cruz). GFP was detected using an anti-GFP
antibody (Santa Cruz).
