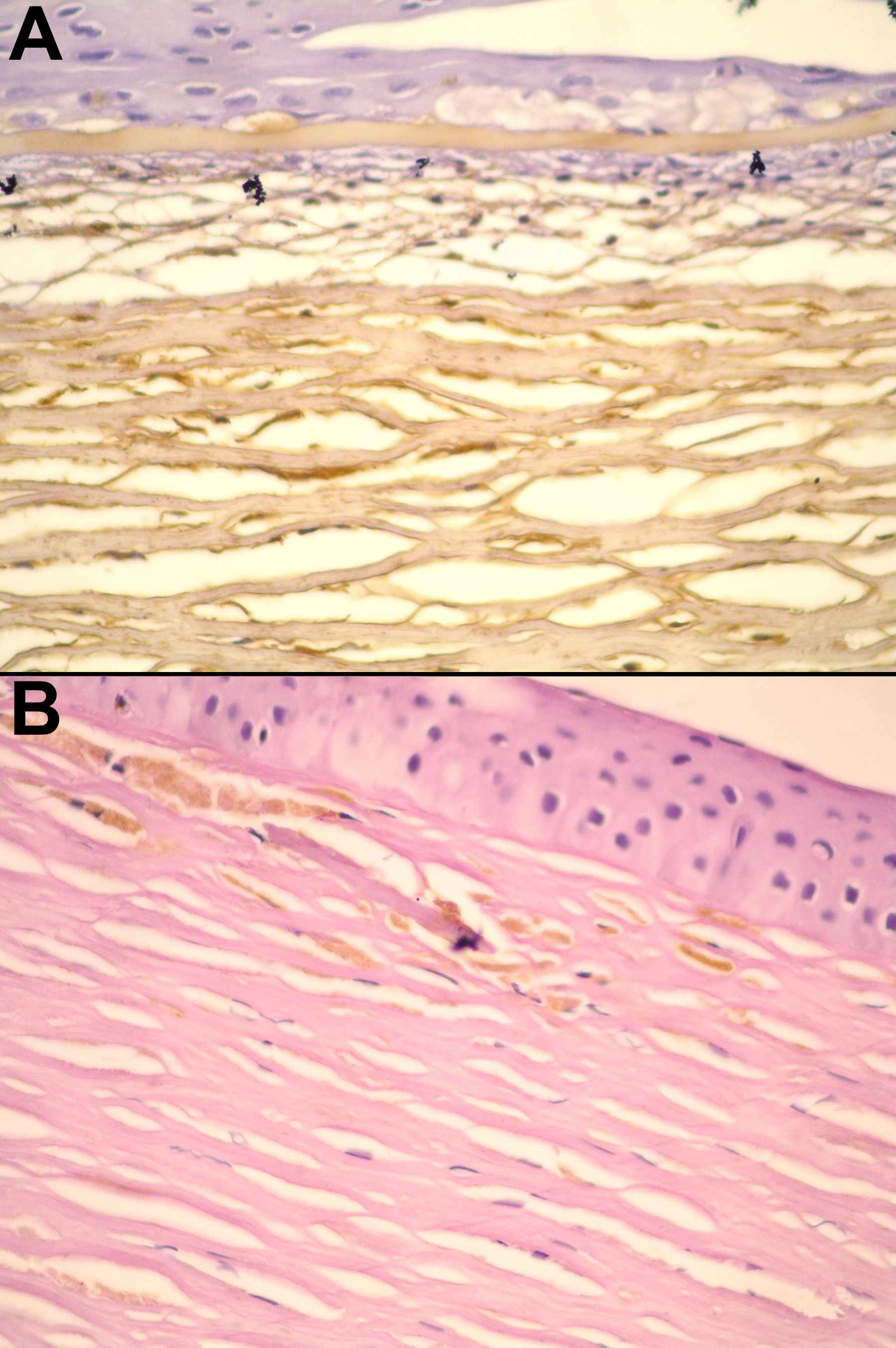
Figure 2 of Sultana, Mol Vis 2009; 15:319-325.


Figure 2. Different corneal immunophenotypes among affected members of a family with MCD. A: Corneal section from patient 62 having MCD type II, showing staining for AgKS throughout the stroma and in keratocytes. B: Corneal section from patient 63 from the same family, having MCD type IA. Staining for AgKS is seen only in corneal keratocytes, and is completely absent in the stroma (details in Table 1; stained with DAB, counterstained with hematoxylin-eosin and periodic acid Schiff, 400X).