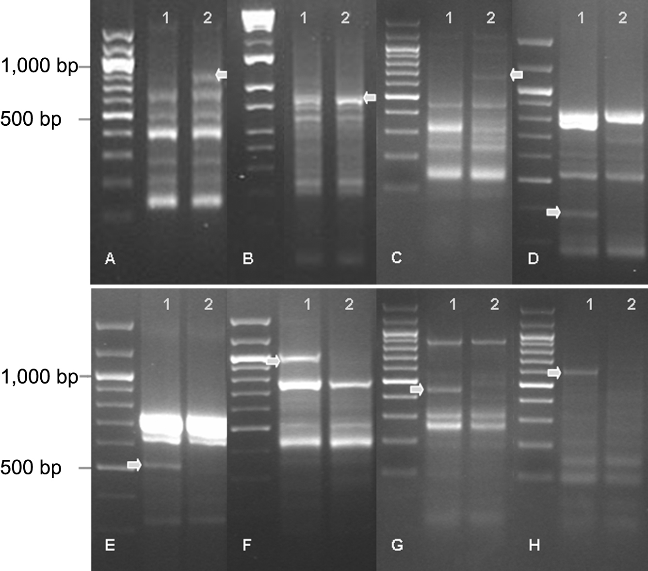
Figure 1. Annealing control primer™–base
polymerase chain reaction. Annealing control primer™–base polymerase
chain reaction product of eight verified differentially expressed genes
shows increased or decreased levels of expression in keratoconus
(arrows). Higher levels of expression in keratoconus (column 2)
compared with normal cornea (column 1) were found in bone morphogenetic
protein 4 (A), cofilin 1 (B), and JAW1-related protein (C),
whereas lower levels of expression were found in actin, alpha 2 (D),
gene rich cluster, and C 10 gene (E), tissue inhibitor of
metalloproteinase 3 (F), tissue inhibitor of metalloproteinase 1
(G), and somatostatin receptor 1 (H).
