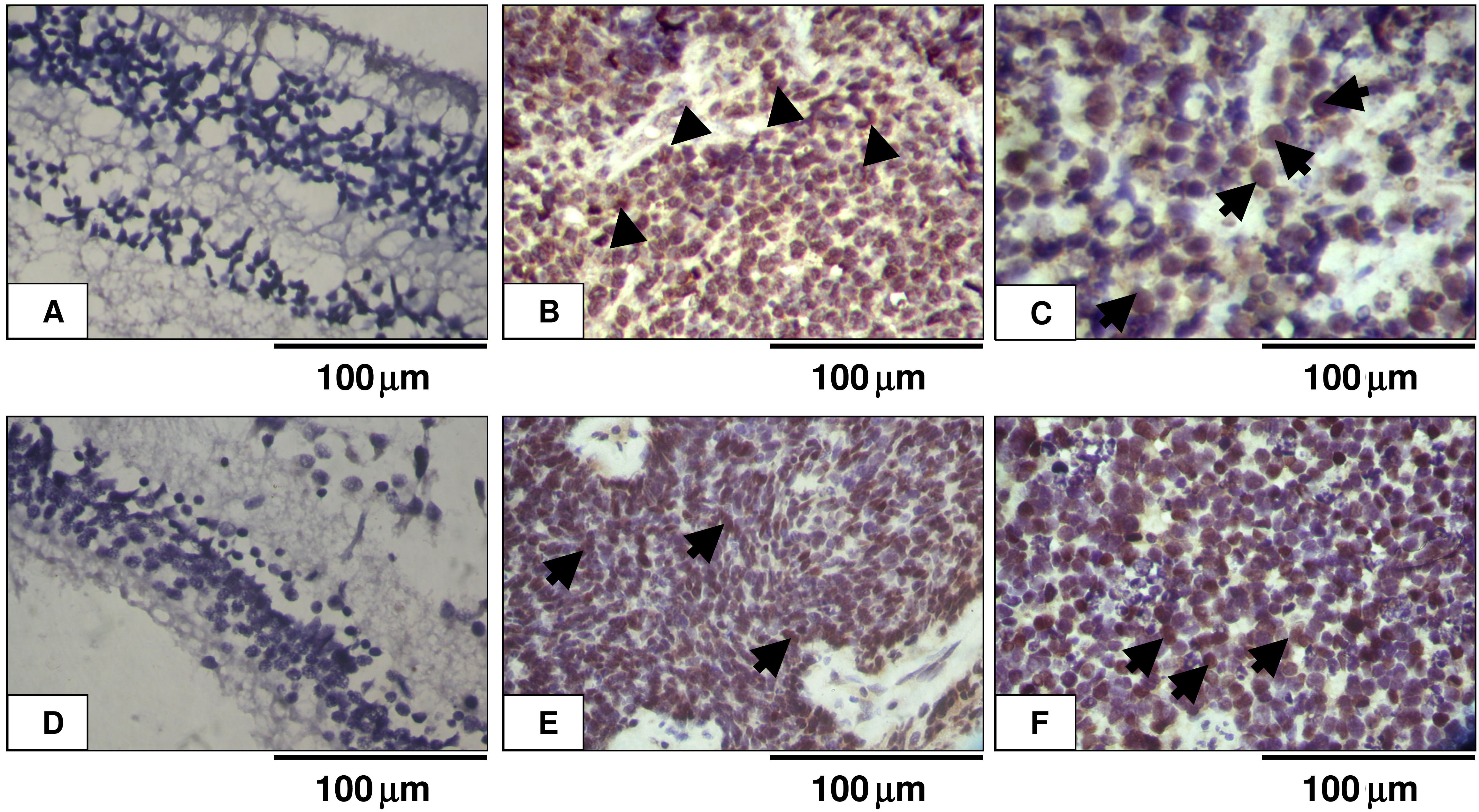
Figure 2. KIF14 and E2F3
expression in tumor and control retina. A and D show no
immunoreactivity of KIF14 and E2F3 in non-neoplastic
retina. B and C show positive nucleocytoplasm (arrow
heads) and nuclear (arrows) expression of KIF14 in tumor cells.
E and F show positive nuclear (arrows) expression of E2F3
in tumor cells. All are 3,3′-diaminobenzidine staining with hematoxylin
counterstain. The pictures were taken under 40X magnification.
