Figure 2 of
Garfias, Mol Vis 2009; 15:2068-2073.
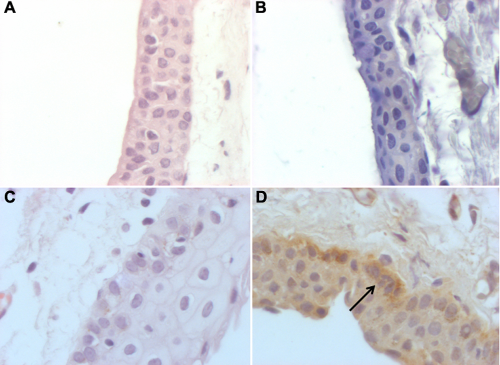
Figure 2.
Hematoxylin and eosin staining for healthy conjunctiva (
A
) and pterygium (
C
) and immunoreactivity for CD30 in healthy conjunctiva (
B
) and pterygium (
D
). The arrow indicates the strong immunoreactivity in the basal epithelium (400×).