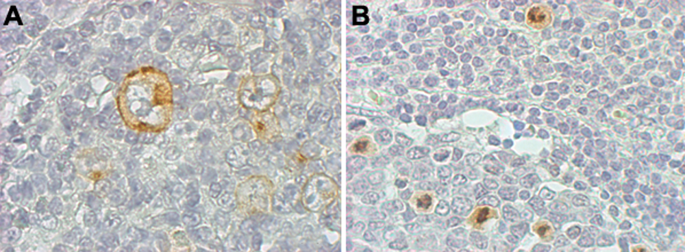
Figure 1. Immunohistochemistry for CD30 and Ki-67. Reed-Sternberg cells are positive for CD30 identified in Hodgkin’s disease (A). Nuclear expression of Ki-67 identified in human tonsils (B). Both slides were counterstained with Mayer’s hematoxylin (400×).
