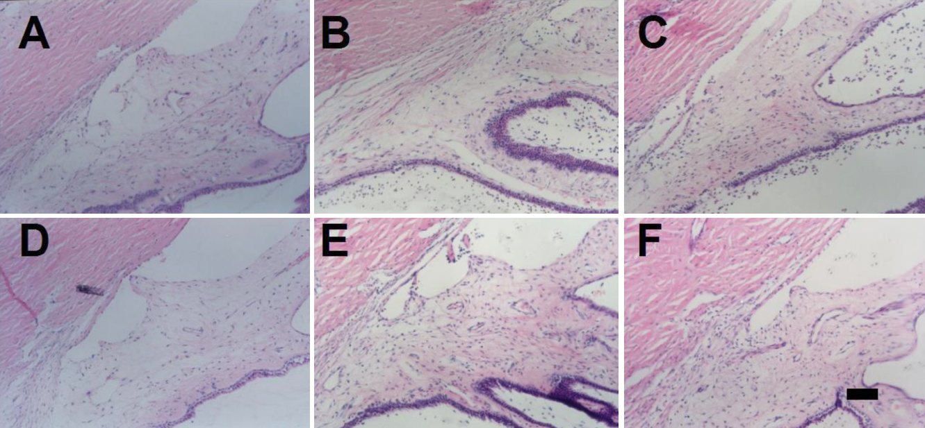
Figure 6. Histological findings in the eye with induced uveitis at 100 days after rAAV-IL-1Ra administration. The vitreal cavity of
rabbit eyes was injected with rAAV-IL1-Ra, and the contralateral eye was injected with the same amount of rAAV-LacZ. In another
group, the right eye was injected with the same amount of PBS. After 100 days later, uveitis was induced by intravitreal injection
of IL-1α. Immediately before, and one or three days after, uveitis induction, the eyeballs were enucleated, fixed, and stained
with H&E. Histology of eyes injected with rAAV-LacZ immediately before (A), one day after (B), and three days after (C) IL-1α injection. Histology of the eyes injected with rAAV-IL-1Ra immediately before (D), one day after (E), and three days after (F) IL-1α injection. The scale bar in F is equal to 100 μm.
