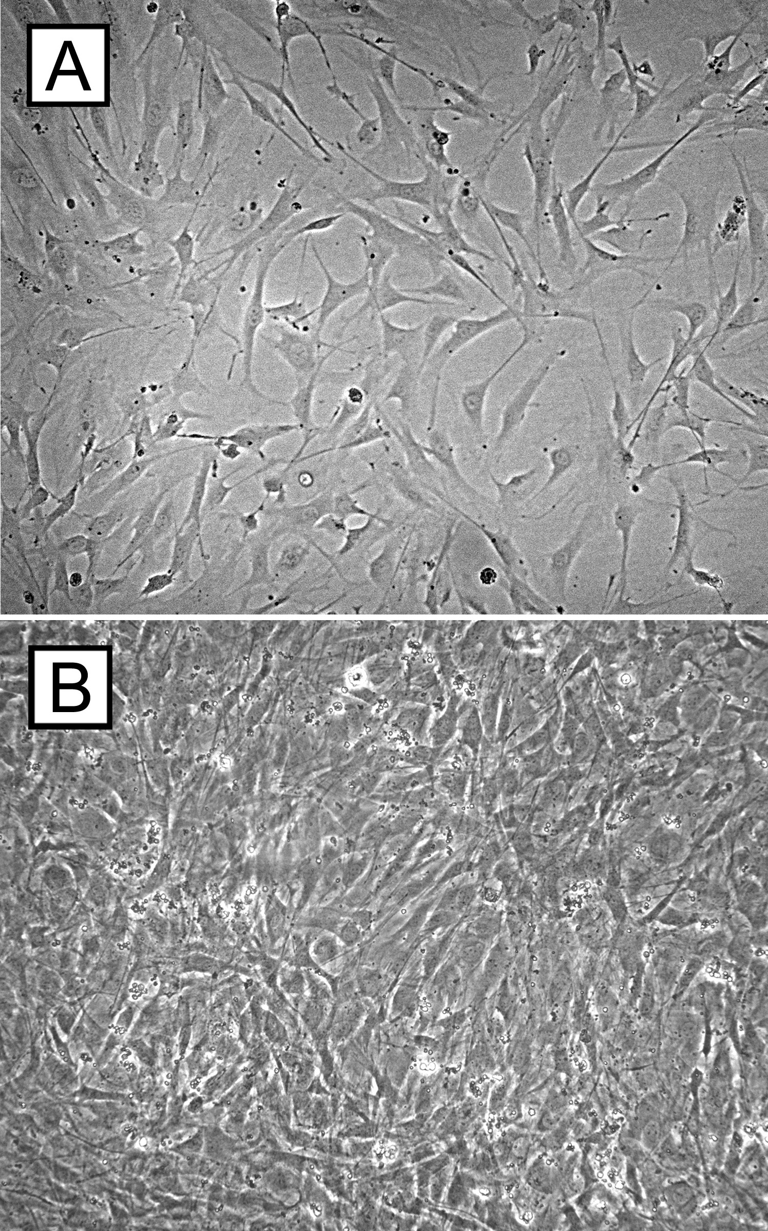
Figure 1. Cell culture experiments of
retinal pigment epithelium cells. Retinal pigment epithelium (RPE)
cells of C57BL/6 mice were seeded on tissue culture flasks containing
RPE cell culture medium and cultured for up to 7 days till they were
grown to confluence. The micrographs demonstrate C57BL/6 RPE cells
after 3 (A) and 7 (B) days of cell culture.
