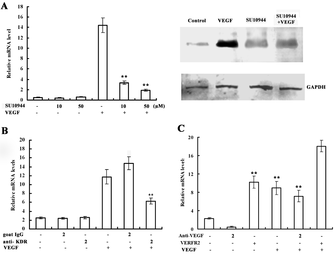
Figure 4. VEGF increases annexin A2 expression through VEGFR2. A: RF/6A cells were pretreated with 10 µM or 100 µM SU10944 for 30 min and then treated with 25 ng/ml of VEGF for 1 h. Annexin
A2 expression was detected by real-time PCR and western blot analysis. B: RF/6A cells were pretreated with 2 µg/ml goat IgG or neutralizing anti–VEGFR2 antibody for 1 h and then stimulated with 25
ng/ml of VEGF for 1 h. Total RNA was isolated, and quantitative real-time PCR was performed. C: RF/6A cells were pretreated with anti-VEGF antibody or VEGFR2 for 1 h, and then treated with 25 ng/ml VEGF for1 h. Annexin
A2 expression was detected with real-time PCR. Double asterisks (**) represent p<0.01 compared with VEGF-treated and VEGFR2-treated
samples.
