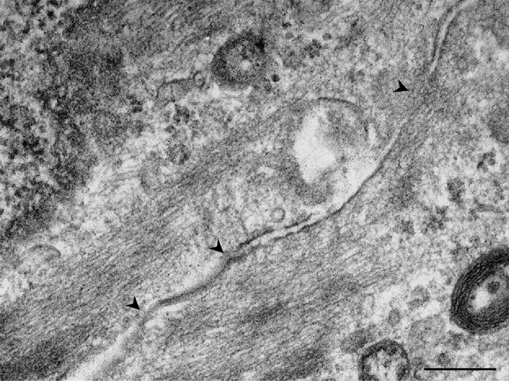
Figure 6 of Fan, Mol Vis 2009; 15:1070-1078.


Figure 6. Transmission electron microscopy of NRCE cells at passage 191. Intercellular junctions (arrow heads) were shown. Scale bar: 0.2 μm.