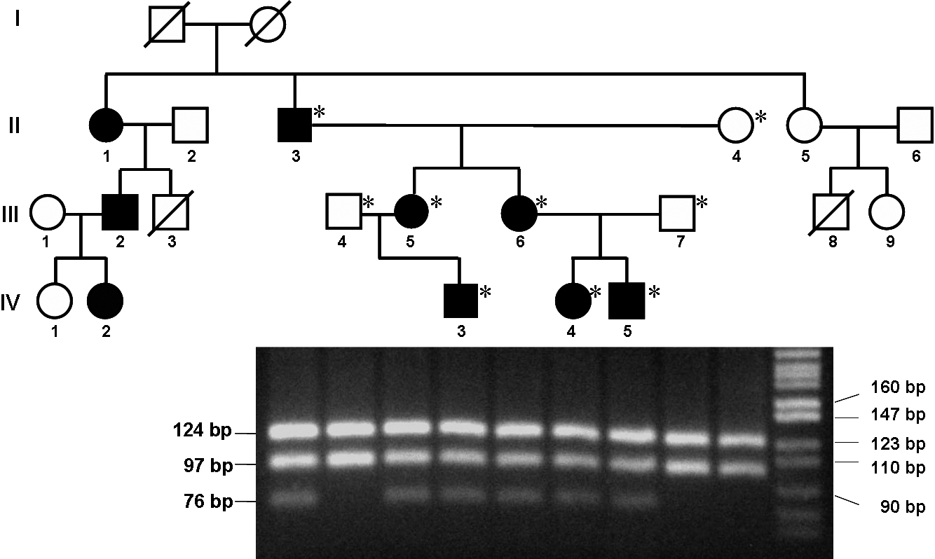
Figure 4. Analysis of R124C mutation by
polymerase chain reaction-restriction fragment length polymorphism. All
affected individuals carry the same mutation in exon 4 of the TGFBI
gene. Exon 4 was amplified from each family member and digested with
PstI. The products were analyzed by a 4% agarose gel electrophoresis
along with a standard marker (MW) as indicated.
