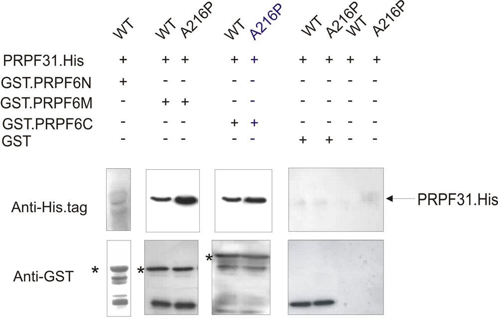
Figure 2. Pull-down assays showing the interaction of His-tagged PRPF31 (WT and A216P mutant) with GST-tagged PRPF6 domains. Complexes
between the two proteins were immobilized with glutathione sepharose beads and eluted with reduced glutathione. Panels show
the Western analysis of elution products using immobilized GST-PRPF6N (amino acids 1–306), GST-PRPF6M (amino acids 307–607),
and GST-PRPF6C (amino acids 607–941). Upper panels were probed with α-His.tag antibody and lower panels with α-GST antibody.
Asterisks (*) indicate the size of full-length GST-PRPF6N, GST-PRPF6M, and GST-PRPF6C respectively. Note that the faint band
in the upper panel for the pull-down assay with GST-PRPF6N is too small for PRPF31-His. Negative controls show absence of
nonspecific binding of His-tagged PRPF31 to the beads and to GST tag. Quantification of the WT and mutant PRPF31 bands gave
ratios of mutant:WT of 4.2±1.4 (for PRPF6M) and 2.1±0.5 (for PRPF6C). In each case, the mean and standard error was determined
from four separate determinations.
