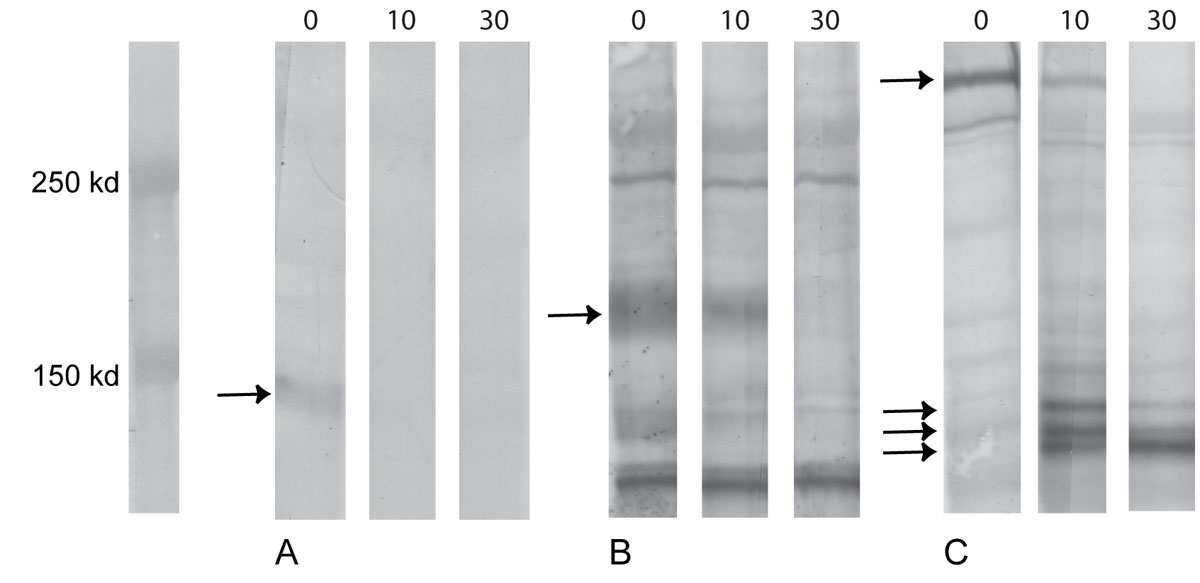
Figure 3. Examples of western blot analyses: Müller cell extracts with the addition of type VII collagenase (0, 10, and 30 units/ml).
A: The specific band of type II collagen is shown at 150 kDa and disappears without formation of new bands when type VII collagenase
is added. B: At 180 kDa, the specific band of type III collagen disappears gradually on the addition of type VII collagenase. C: Addition of type VII collagenase to type VII collagen results in the gradual disappearance of the specific band at 270 kDa
and the appearance of breakdown products at 130, 135, and 140 kDa. Specific bands are indicated with arrows.
