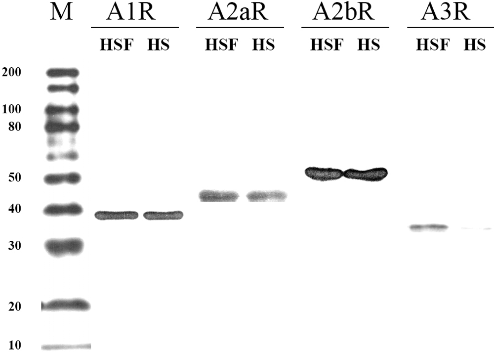
Figure 4. Four subtypes of ADOR expressed
in HSF and human sclera (HS). The marker ladder is from 10 kDa to 200
kDa. The molecular weight of ADORA1 is about 39 kDa, ADORA2A is 45 kDa,
ADORA2B is about 52 kDa, and ADORA3 is nearly 36 kDa. ADORA1 and
ADORA2B are strongly expressed in both the HSF and human sclera, but
ADORA2A and ADORA3 are only weakly expressed in the human sclera.
