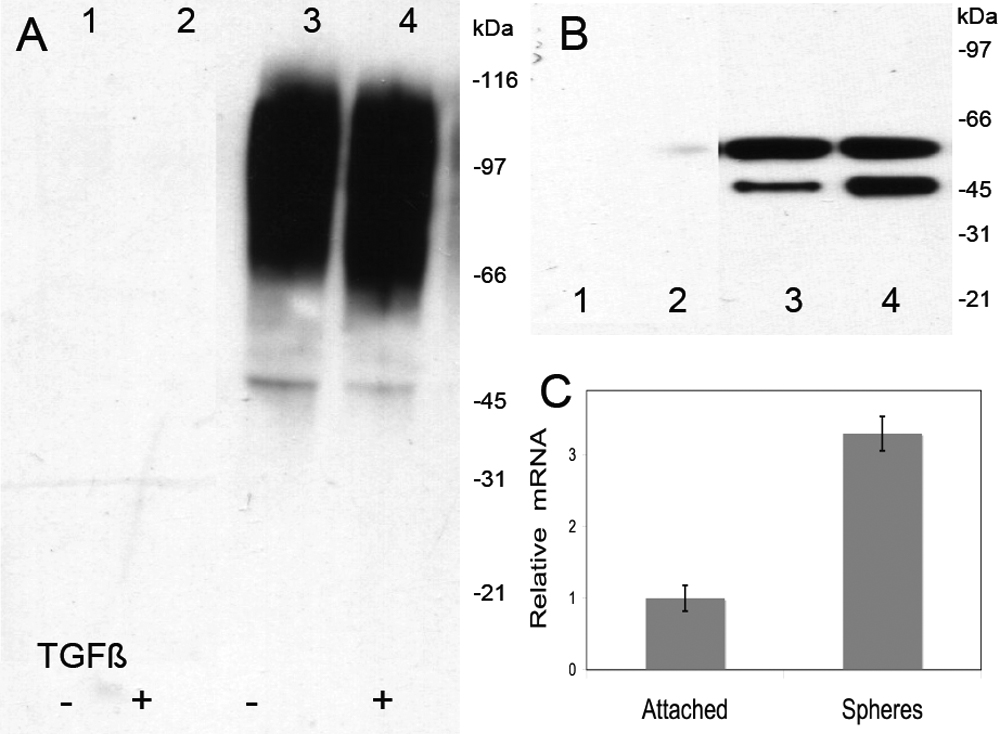
Figure 4. Production of keratan sulfate proteoglycans by spheroids. In A and B, primary keratocytes were cultured in Advanced-DMEM as attached cells (lanes 1 and 2) or as spheroids (lanes 3 and 4) in
the presence (lanes 2 and 4) or absence (lanes 1 and 3) of TGFβ1 at 2 ng/ml for five days. Keratan sulfate proteoglycans from
the culture medium were detected by immunoblotting using monoclonal antibody to keratan sulfate (A), and core protein keratocan was detected after digestion with endo-β-galactosidase and keratanase II as described under
Methods (B). C: In this panel, the relative mRNA levels for keratocan in Advanced-DMEM for spheroids and attached cells were determined
using qRT–PCR as described under Methods.
