Figure 1 of Rusai, Mol Vis 2008; 14:286-290.


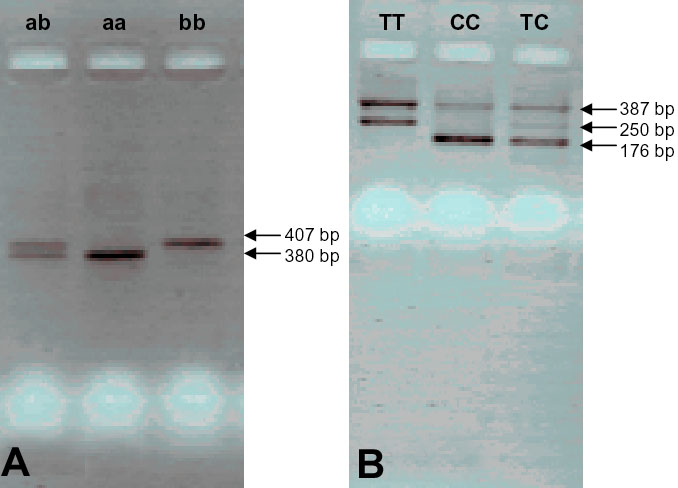
Figure 1. Two represetative pictures of eNOS genotyping

The two pictures show typical results of the allele-specific PCR reactions for eNOS 27-bp repeat (A) and eNOS T-786C (B) polymorphisms.

(44 K)

Rusai, Mol Vis 2008; 14:286-290 <http://www.molvis.org/molvis/v14/a35/>
©2008 Molecular Vision <http://www.molvis.org/molvis/>
ISSN 1090-0535