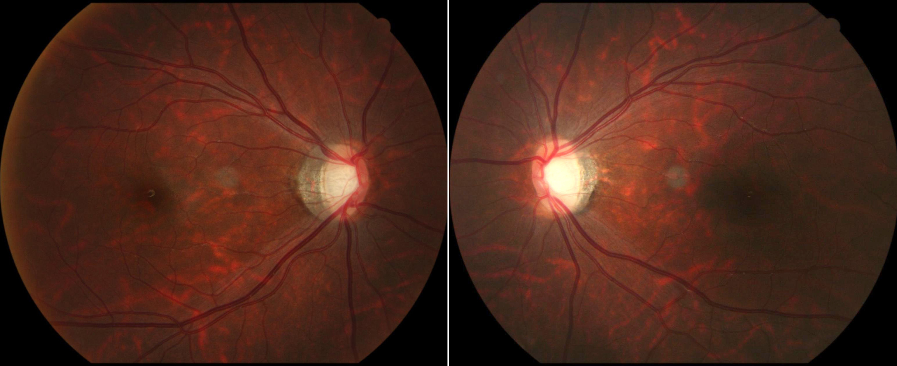
Figure 2 of Li, Mol Vis 2008; 14:2451-2457.


Figure 2. Fundus appearance of a patient with autosomal dominant optic atrophy (ADOA). Fundus of proband of family F2 showed bilateral temporal pallor of optic discs.