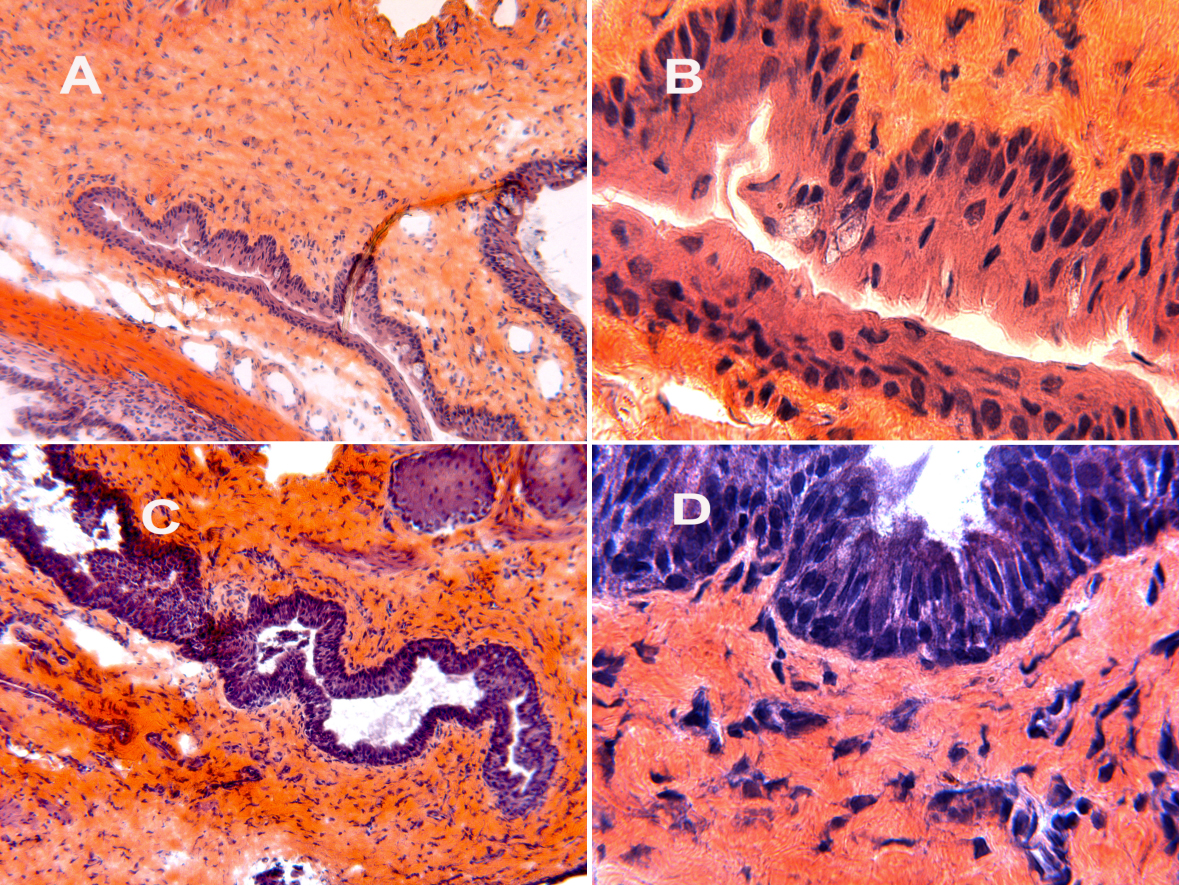
Figure 1. Histological micrographs. Conjunctiva in control rats with 10X (A) and 50X (B) enlargement. Conjunctiva in endotoxin-induced uveitis (EIU) 24 h after LPS injection with 10X (C) and a 50X (D) enlargement showed a disorganization of the epithelial architecture with an increase in the number of layers and the size
of epithelial cells
