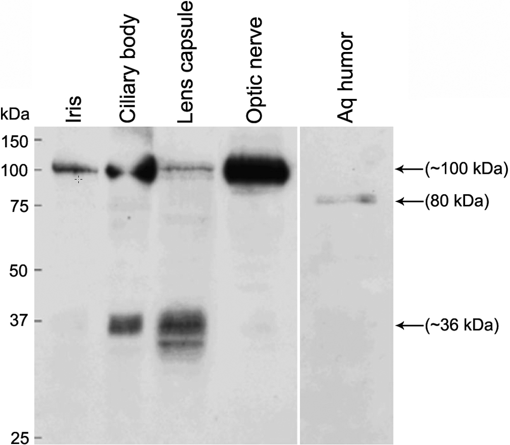
Figure 1. CLU protein expression in human
ocular tissues. Expression of the CLU protein in the human iris,
ciliary body, lens capsule, optic nerve, and aqueous humor was analyzed
by western blotting with an anti-clusterin antibody. Lens capsules from
three eyes were pooled for protein extraction. Sizes of molecular
weight markers in kiloDaltons (kDa) are indicated. Arrows point to
specific protein bands.
