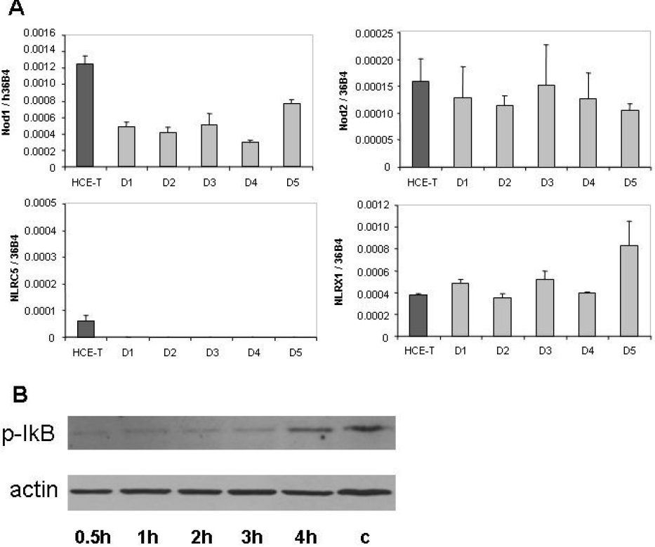
Figure 3 of Benko, Mol Vis 2008; 14:1575-1583.


Figure 3. Expression of Nod subtypes in corneal epithelial cells. A: The relative expression of Nod1, Nod2, NLRC5, and NLRX1 mRNA in HCE-T cells and in primary corneal epithelial cells derived from five individuals were measured and documented as described in the legend of Figure 1. B: Detection of phosphorylated IκB using western blotting is illustrated. HCE-T cells were treated with 4 μg/ml ultrapure PGN-ECndss for the indicated time periods. The control THP-1 cells (c) were treated with 1 μg/ml LPS for 4 h. Equal amount of sample loading was verified by detecting β-actin protein expression.