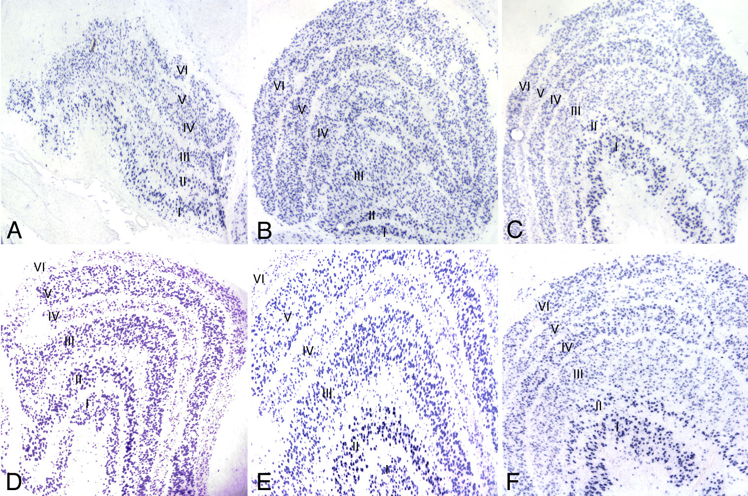
Figure 7. In situ hybridization of GABRA1
in control and deprived LGN. A and B: GABRA1 expression
in the LGN of two control monkeys (C1 and C2). C: GABRA1 showed
decreased expression in deprived layers (layers II, III, and V) in the
LGN ipsilateral to the eye from a monkey that was monocular
vision-deprived for four months (MD4). D: GABRA1 showed
decreased expression in deprived layers (layers I, IV, and VI) in the
LGN contralateral to the eye from a monkey that was monocular
vision-deprived for four months (MD3). E: Higher-magnification
photomicrograph of D. F: Higher-magnification
photomicrograph of C.
