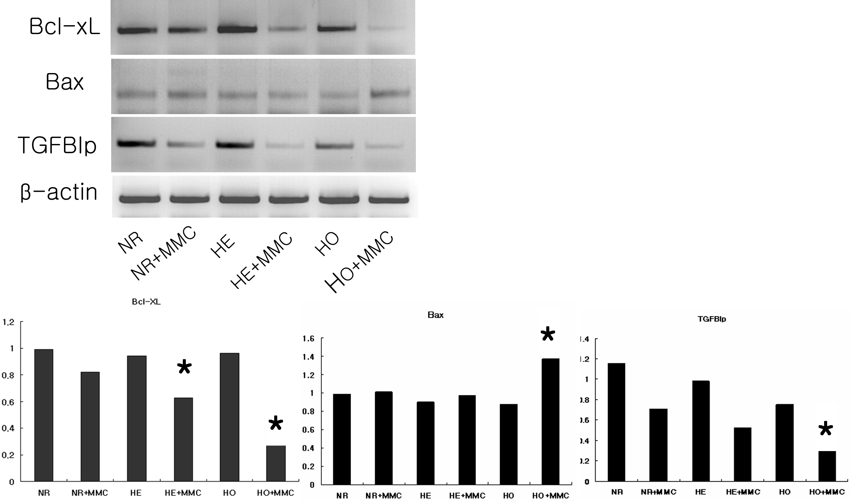
Figure 6. The effect of MMC on Bcl-xL,
Bax, and TGFBI mRNA expression in corneal fibroblasts.
Cells were incubated with 0.02% MMC for 6 h after which RNA was
isolated and subjected to RT–PCR analysis to determine the levels of Bcl-xL,
Bax, and TGFBI mRNA expression. MMC reduced Bcl-xL mRNA
expression in heterozygote (p=0.045) and homozygote (p=0.017) cells and
markedly enhanced Bax expression in GCD II homozygote cells
(p<0.01). MMC decreased TGFBI mRNA expression statistically
significant in homozygote cells (p=0.025). The asterisk indicates a
p<0.05; ANOVA compared with normal cell. MMC: mitomycin C, NR:
normal, HE: heterozygote, HO: homozygote.
