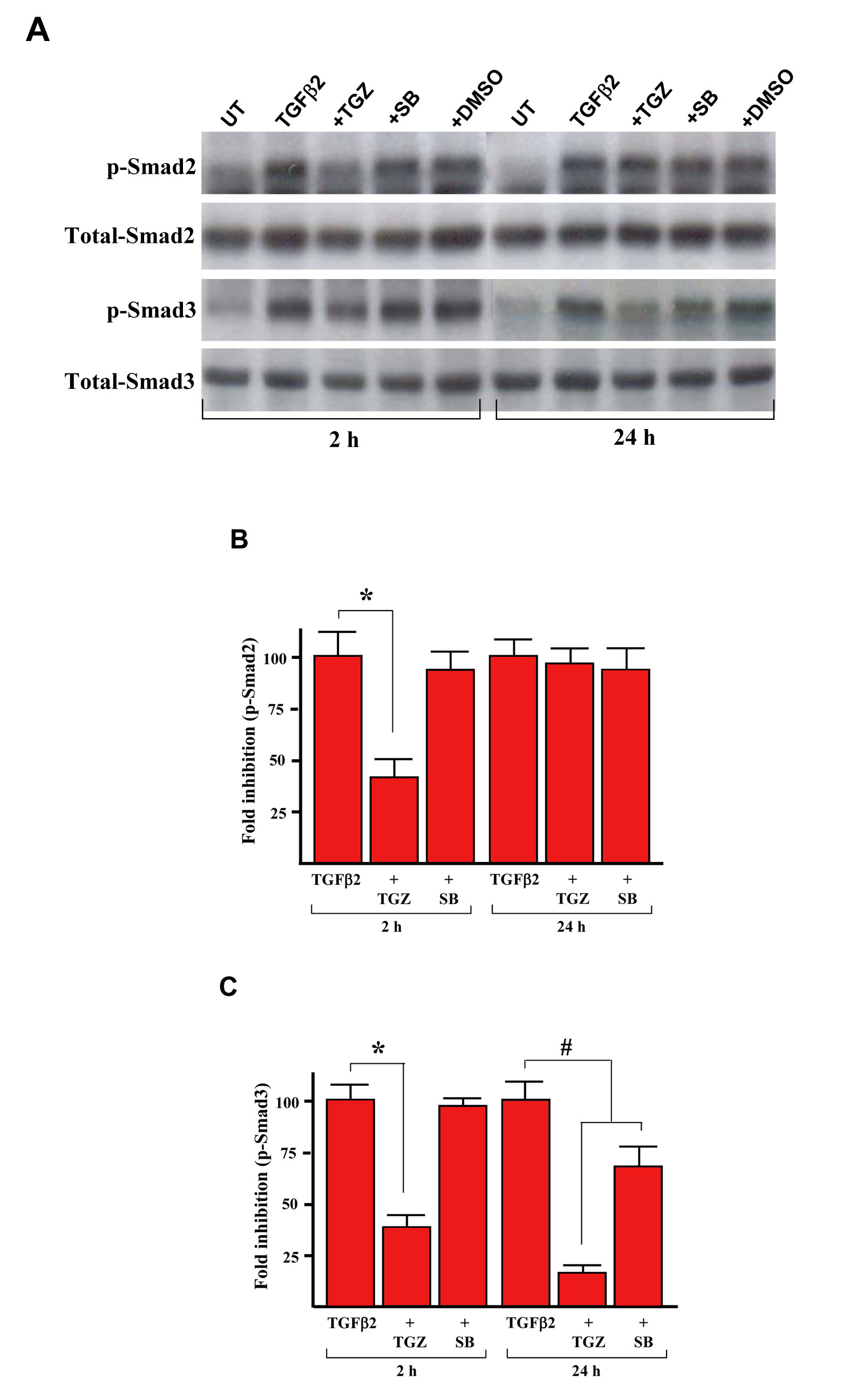
Figure 9. TGZ time-dependently suppresses TGFβ2-induced Smad phosphorylation. A: ARPE-19 cells were treated with 4 ng/ml TGFβ2 alone
or were pretreated with 10 μM TGZ, 10 μM SB203580, or DMSO for 1 h and then stimulated with TGFβ2 for the indicated time periods.
Cells were harvested and subjected to western blot analysis with phosphospecific antibodies of Smad2 and Smad3. Equal protein
loading was confirmed by the reprobing of membranes with total Smad2 and Smad3 antibody as loading control. B and C: After
densitometric scans of triplicate blots, values for phospho-Smad2 and Smad3 were normalized to total Smad2 and Smad3, respectively.
*p<0.02 versus TGFβ2-treated cells. #p<0.05 versus TGFβ2-treated cells
