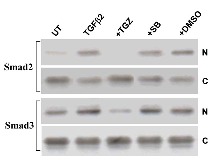
Figure 10. TGFβ2-induced translocation of Smads2/3 from the cytosolic to nucleus fractions is inhibited by TGZ.ARPE-19 cells were treated with 4 ng/ml TGFβ2 alone or pretreated with 10 μM TGZ, 10 μM SB203580 or DMSO for 1 h and then
stimulated with TGFβ2 for 2 h. Cells were harvested and aliquots containing equal amounts of protein from cytosolic (C) and
nucleus (N) fractions were subjected to SDS–PAGE and western blot analysis. The result of one representative assay from two
similar independent experiments is shown.
