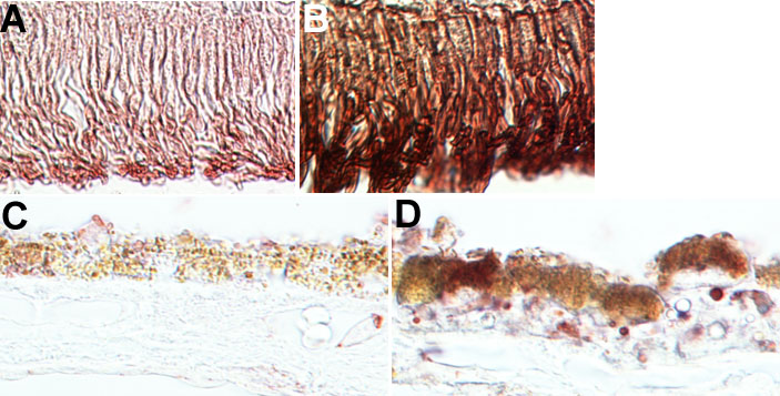
Figure 3 of
Suzuki, Mol Vis 2007;
13:772-778.
Figure 3. Oxidized lipoprotein immunostaining is more intense in eyes with age-related macular degeneration than in age-matched normal eyes
A: Photoreceptors (PS) of 75-year-old normal donor. B: PS of 70-year-old age related macular degeneration (AMD) donor, C: Retinal pigment epithelium (RPE) of the same normal donor as A. D: RPE of the same AMD donor as B. Eyes with AMD show more intense immunoreactivity for oxidized phospholipids than age-matched normal eyes in both the photoreceptors and RPE cells. In the AMD eyes, note that the areas with continuous soft drusen show immunoreactivity (arrowheads). Original magnification, x600. Scale bar represents 50 μm. E: Mean threshold values of immunoreactivity for oxidized phospholipids in the photoreceptors of non-AMD age-matched control donor eyes (clear column) and AMD (filled column). F: Mean percentage area of field immunostained for oxidized phospholipids in the RPE of non-AMD age-matched control donor eyes (clear column) and AMD (filled column).

