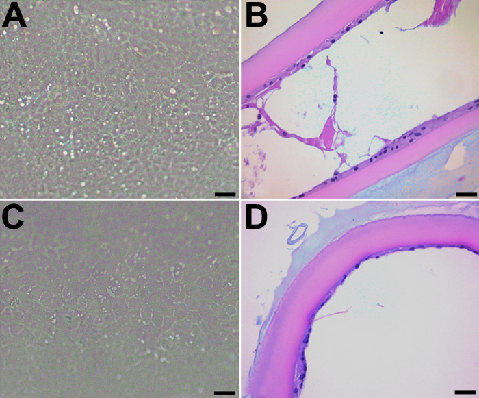
Figure 13 of
Chandler, Mol Vis 2007;
13:677-691.
Figure 13. Evaluating the toxic effects of celecoxib and rofecoxib on LEC not undergoing EMT
To determine if the effects of rofecoxib or celecoxib were due to specific pharmacologic activity or to non-specific chemical toxicity, sham cataract surgery was performed and LEC were treated with vehicle only for one week, then treated with 20 μM celecoxib (A and B) or rofecoxib (C and D) for a second week. There were no signs of toxicity in the LEC. The scale bars are equal to 30 μm (A and C) and to 50 μm (B and D).
