Figure 2 of Chiang, Mol Vis 2007; 13:635-638.


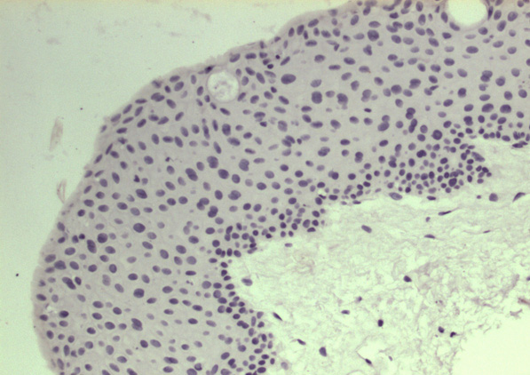
Figure 2. Normal conjunctiva showing negative immunostaining for COX 2

No substantial staining is visible in the epithelium and subepithelial fibrovascular layer of the normal conjunctiva.

(137 K)

Chiang, Mol Vis 2007; 13:635-638 <http://www.molvis.org/molvis/v13/a69/>
©2007 Molecular Vision <http://www.molvis.org/molvis/>
ISSN 1090-0535