Figure 4 of
Fradot, Mol Vis 2007;
13:594-601.
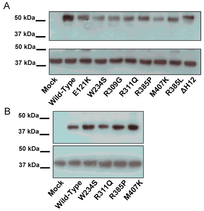
Figure 4. Expression of Gal4-NR2E3LBD
A and B mutant proteins after transfection into COS-1 cells. The bottom panels represents β-actin loading controls. A: Western blotting against the GAL4-NR2E3 fusion proteins. B:L Western blotting against the hemaglutinin antigene (HA) tagged NR2E3 proteins.
