Figure 3 of
Fradot, Mol Vis 2007;
13:594-601.
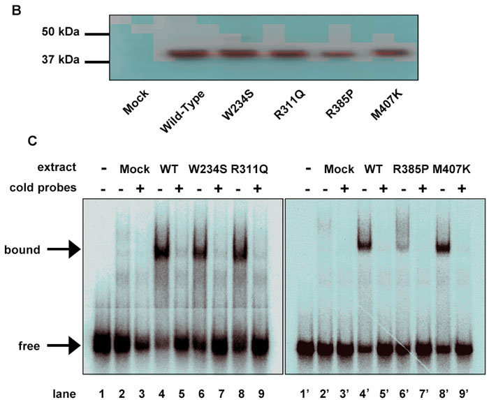
Figure 3. Transcriptional effect of NR2E3 mutations on full-length receptor
A: COS-1 cells were transiently transfected with 100 ng of NR2E3 wild-type and mutant expression plasmids, and transcriptional activity of a NR2E3 responsive reporter gene was measured. Normalized values are expressed as relative luciferase activity. B: Expression of NR2E3 wild-type and mutants in COS-1 transfected cells. C: Electrophoretic mobility shift assay of full-length wild-type (WT) and mutated NR2E3 using a Kni x2 probe [6]. Bound indicates shifted bands, and free denotes unbound probe.

