Figure 3 of
DuPrey, Mol Vis 2007;
13:366-373.
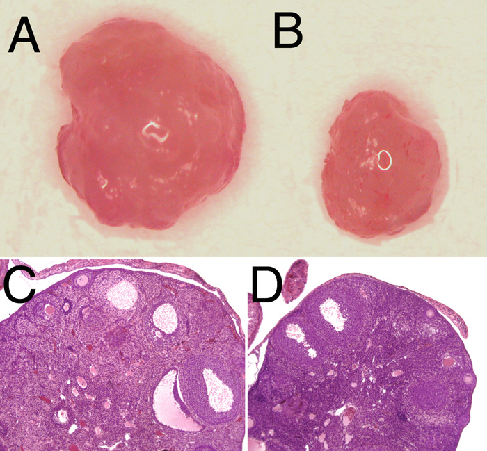
Figure 3. Defects in homozygous STOCK Crybb2Phil ovary
A: Gross appearance of a Swiss-Webster mouse ovary. B: Gross appearance of a STOCK Crybb2Phil ovary. C: Hematoxylin and eosin stained paraffin section of a Swiss-Webster mouse ovary. D: Hematoxylin and eosin stained paraffin section of a homozygous STOCK Crybb2Phil ovary.
