Figure 1 of
DuPrey, Mol Vis 2007;
13:366-373.
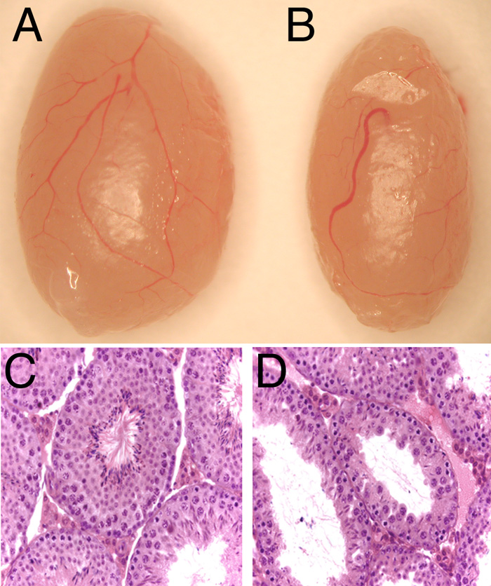
Figure 1. Defects in homozygous STOCK Crybb2Phil testis
A: Gross appearance of a Swiss-Webster mouse testis. B: Gross appearance of a STOCK Crybb2Phil testis. C: Hematoxylin and eosin stained paraffin section of a Swiss-Webster mouse testis. D: Hematoxylin and eosin stained paraffin section of a homozygous STOCK Crybb2Phil testis.
