Figure 1 of
Nomura, Mol Vis 2007;
13:2320-2327.
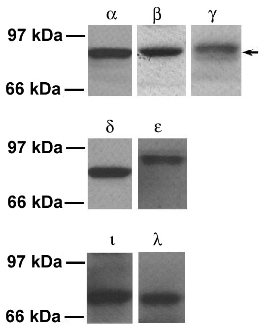
Figure 1. Expression of protein kinase C isoforms in rat subconjunctival fibroblasts
The expression of protein kinase C (PKC) isoforms in rat subconjunctival fibroblasts was analyzed with specific antibodies by Western blot analysis. The apparent molecular weights of the PKC isoforms are: PKC-α, 82 kDa; β and γ, 80 kDa; δ, 78 kDa; ε, 90 kDa; ι and λ, 74 kDa.
