Figure 4 of
Hanna, Mol Vis 2007;
13:2194-2208.
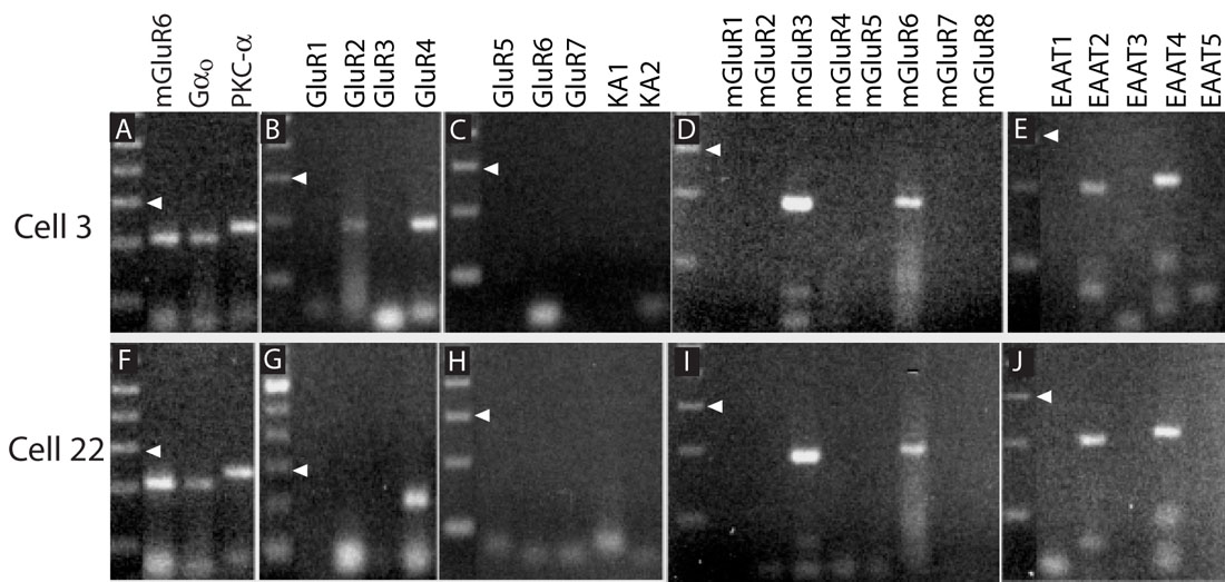
Figure 4. Gene expression in two rod bipolar cells
Gene-specific PCR from cDNA libraries were created using 3'-end amplification (TPEA) RT-PCR on RNA extracted from two representative rod bipolar cells. A-F: Shown are gels for two cells demonstrating expected PCR products for mGluR6, Gαo and PKCα. G: We confirmed a similar pattern of expression for 28 of 35 putative rod bipolar cells and used gene-specific PCR from the same cDNA libraries to test expression of AMPA (B, G), kainate (C, H), and mGluR subunits (D, I). We also tested the expression of the five non-vesicular glutamate transporter (EAAT) subunits (E, J). A single PCR product was detected in each reaction, so gels are truncated. Arrowheads indicate 300 bp.
