Figure 4 of
Wilkinson-Berka, Mol Vis 2007;
13:1529-1538.
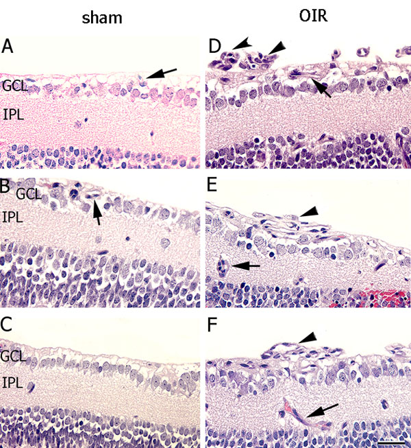
Figure 4. Three μm paraffin sections and quantitation of blood vessel profiles in the inner retina from mice with oxygen induced retinopathy and treated with the control oligonucleotide ATL 261303 using either an early or late intervention protocol
ATL 261303 had no effect on pathological angiogenesis in mice with oxygen induced retinopathy, or on normal physiological angiogenesis in sham mice. The following abbreviations are used: oxygen induced retinopathy (OIR); ganglion cell layer (GCL); inner plexiform layer (IPL); blood vessel profiles (BVPs); early intervention (EI) and late intervention (LI). The sections are stained with hematoxylin and eosin. Magnification x150. Scale bar equals 50 μm. A is sham+vehicle, B is sham+20 mg/kg ATL 261303 and EI, C is sham+20 mg/kg ATL 261303 and LI, D is OIR+vehicle, E is OIR+20 mg/kg ATL 261303 and EI, and F is OIR+20 mg/kg ATL 261303 and LI. Retina in all shams appeared normal with BVPs (arrows) in the GCL and IPL. In untreated OIR mice (D), numerous BVPs (arrows) were present and also adherent to the retinal surface (arrowhead). Retina from OIR mice treated with ATL 261303 either early (E) or late (F), appeared similar to untreated OIR (D) with numerous BVPs (arrows) in the inner retina and penetrating into the vitreous (arrowhead). Values are mean±sem. N=9 to 10 mice per group. Asterisk denotes p<0.0001 compared to all OIR groups.

