Figure 8 of
Biju, Mol Vis 2007;
13:1121-1129.
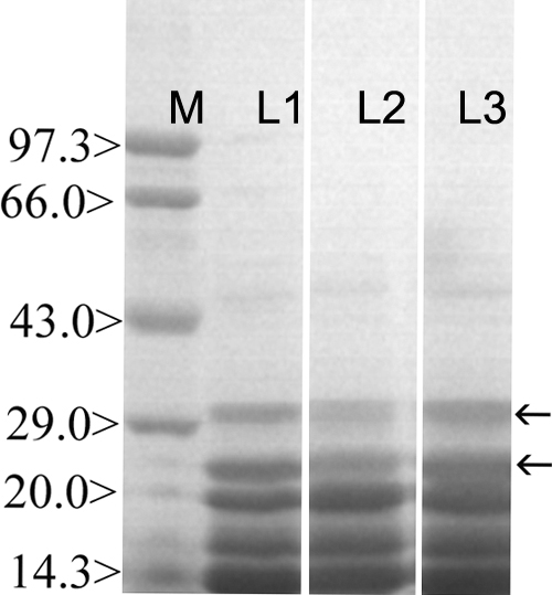
Figure 8. Sodium-dodecyl-sulfate polyacrimide gel electrophoresis of lens water soluble protein fraction
Lane M indicates the molecular weight marker, Lane 1 represents the protein profile of the normal lens while Lane 2 signifies the protein profile of the selenite-supplemented group, and Lane 3 denotes the protein profile of the Drevogenin D-treated group.
