Figure 1 of
Swain, Mol Vis 2007;
13:1114-1120.
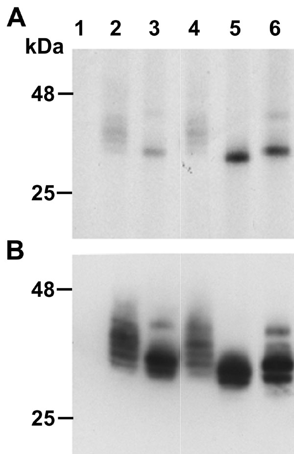
Figure 1. Mutation alters metabolic phosphorylation of neural retina leucine-zipper in transfected COS-1 cells
COS-1 cells transfected with different expression plasmids were radiolabeled with either (A), 33P-Orthophosphate; or (B), 35S-Methionine in vitro. COS cell lysates transfected with: Lane 1, pED; lane 2, pEDNRL; lane 3, pEDNRL-S50T; lane 4, pEDNRL-G122E; lane 5, pEDNRL-P51L; lane 6, pEDNRL-S50A were immunoprecipitated using anti-NRL antibody and used equal amount of the total protein to analyze by SDS-PAGE followed by autoradiography. In the figure, NRL-G122E observed to be a non-pathogenic, sporadic mutation in the affected patient was used as a second control in the analysis.
