Figure 4 of
Yang, Mol Vis 2007;
13:1083-1093.
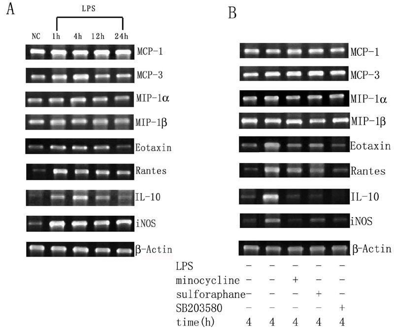
Figure 4. Reverse transcriptase polymerase chain reaction analysis demonstrated the inhibitory effects of minocycline, sulforaphane and SB203580 on lipopolysaccharide-induced mRNA expression of cytokines and inducible nitric oxide synthase in cultured retinal microglial cells
A: The mRNA expression of several cytokines and iNOS in cultured retinal microglial cells with or without LPS administration. The retinal microglial cells constitutively expressed modest mRNA transcripts for MCP-1, MCP-3, MIP-1α, and MIP-1β without LPS administration, and treatment with LPS induced the upregulation of eotaxin, RANTES, IL-10 and iNOS. However, the expression levels for MCP-1, MCP-3, MIP-1α, and MIP-1β were little changed. B: Pretreatment with minocycline, sulforaphane or SB203580 for 1 h before LPS administration significantly reduced the LPS-induced upregulation of eotaxin, RANTES, IL-10, and iNOS, but had no significant effect on the expression of MCP-1, MCP-3, MIP-1α, and MIP-1β.
