Figure 1 of Fuse, Mol Vis 2007; 13:1005-1009.


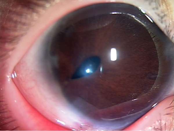
Figure 1. Right eye of proband 1

Right eye of proband 1 affected with ARS, displaying megalocornea, posterior embryotoxon, iris hypoplasia, and corectopia

(186 K)

Fuse, Mol Vis 2007; 13:1005-1009 <http://www.molvis.org/molvis/v13/a108/>
©2007 Molecular Vision <http://www.molvis.org/molvis/>
ISSN 1090-0535